Bienvenido aOchoa Dental CareAyudando a los profesionales a restaurar sonrisas desde 1991.
Formación en clínica, su equipo extra.
Programas formativos y de asistencia clínica destinados a profesionales dentales que busquen incrementar los casos de éxito mediante el uso de técnicas avanzadas de rehabilitación oral mínimamente invasivas.
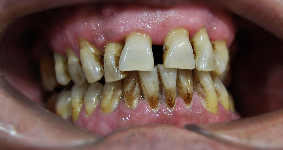
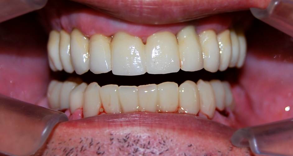
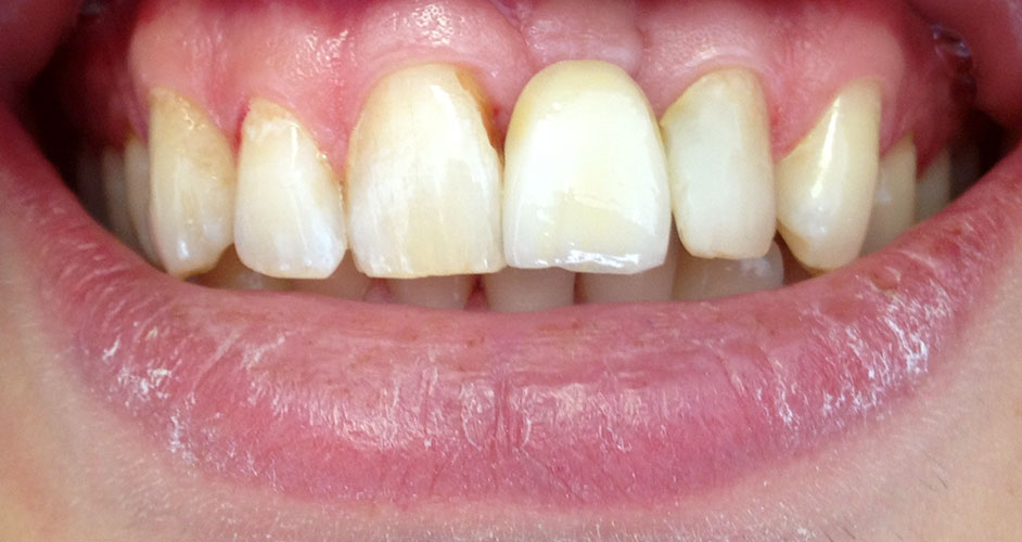
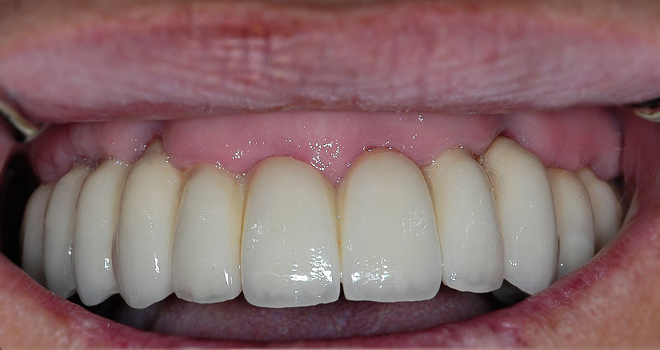
Cirugía menos invasiva: pacientes más satisfechos.
En Ochoa Dental Care creemos que todo tratamiento puede tener una alternativa menos agresiva que nos brinde los mismos resultados clínicos y, sobre todo, proporcione una mayor satisfacción a los pacientes.
Nos integramos en su equipo.
Puede referirnos casos que requieran un enfoque quirúrgico diferente. Podemos tratar a su paciente en su propia clínica, como parte temporal de su equipo, o bien en quirófano externo, con equipo de anestesia y de forma ambulatoria.











